کدخبر :291547 0 14
06 اسفند 1402 - 12:31

هوش مصنوعی پاسخ می‌دهد: آیا مغز زنان و مردان متفاوت است؟

تحقیقات انجام شده در دانشگاه استنفورد با استفاده از یک مدل هوش مصنوعی پیشرفته ثابت کرده که الگوهای فعالیت مغزی مردان و زنان با یکدیگر فرق دارد.

متن خبر

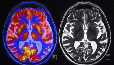
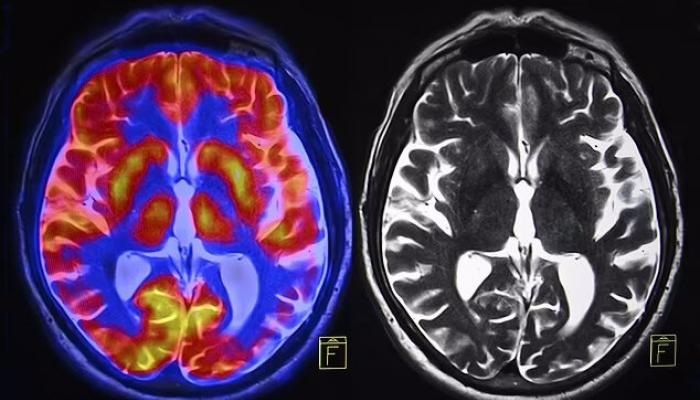
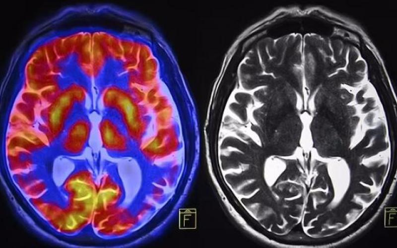
به گزارش سیتنا، دکتر وینود منون، استاد روانپزشکی دانشگاه استنفورد و تیمش، مدلی بر پایه شبکه عصبی عمیق طراحی کردند که می‌تواند با دقت بالای ۹۰ درصد اسکن‌های تصویربرداری تشدید مغناطیسی کارکردی مغز افراد را به دو دسته زن و مرد تفکیک کند.

نتایج نشان داد تفاوت‌هایی در نواحی مغزی مسئول خیال‌پردازی، حافظه و تصمیم‌گیری بین دو جنس وجود دارد.

بیشتر این تفاوت‌ها مربوط به شبکه حالت پیش‌فرض، جسم مخطط و شبکه لیمبیک است که نقش مهمی در فرایندهای ذهنی مانند رویاپردازی، برنامه‌ریزی، تصمیم‌گیری و احساسات دارند.

دکتر منون می‌گوید: این یافته‌ها شواهد قدرتمندی هستند مبنی بر اینکه جنسیت یکی از عوامل تاثیرگذار بر ساختار مغز انسان است.

همچنین مشخص شد هوش مصنوعی می‌تواند با تمرکز بر الگوهای فعالیت مغزی، عملکرد شناختی آینده افراد را نیز با دقت قابل قبولی پیش‌بینی کند. البته یک مدل هوش مصنوعی تنها قادر به پیش‌بینی عملکرد مردان و مدل دیگری عملکرد زنان بود.

کشف این تفاوت‌های جنسیتی در الگوهای فعالیت مغزی، می‌تواند به درک بهتر و درمان موثرتر بیماری‌هایی که به شیوه‌های متفاوتی زنان و مردان را تحت تاثیر قرار می‌دهند، کمک شایانی کند.

دانشمندان امیدوارند این تحقیقات بتواند راه را برای درمان‌های سفارشی‌شده ویژه زنان و مردان در بیماری‌های مغزی و روانی هموار کند.

این تحقیقات ثابت می‌کند که تفاوت‌های زیستی بین دو جنس فراتر از ظاهر بیرونی بوده و در سطح مغز نیز وجود دارد.

انتهای پیام

برچسب ها

12
نظرات خود را با ما درمیان بگذارید

افزودن دیدگاه جدید

کپچا
CAPTCHA ی تصویری
کاراکترهای نمایش داده شده در تصویر را وارد کنید.