کدخبر :284906 پرینت
18 شهریور 1402 - 11:28

عمر قلب خود را با هوش مصنوعی اندازه بگیرید

ابزار جدیدی که با هوش مصنوعی کار می‌کند می‌تواند به شما بگوید که سیگار کشیدن،‌ مصرف نوشیدنی غیرمجاز، رژیم غذایی نامناسب و ورزش نکردن تا چه حد قلب شما را بیش از سن واقعی‌تان پیر کرده است.

متن خبر

به گزارش سیتنا به نقل از بی بی سی، ابزار جدیدی که با هوش مصنوعی کار می‌کند می‌تواند به شما بگوید که سیگار کشیدن، رژیم غذایی نامناسب و ورزش نکردن تا چه حد قلب شما را بیش از سن واقعی‌تان پیر کرده است.

هدف از ساخت این فناوری متوقف کردن روند پیر شدن قلب است تا ریسک عارضه‌هایی مانند سکته یا بیماری‌های قلبی را کاهش دهد که با افزایش سن، احتمال آن بیشتر می‌شود.

این ابزار هوش مصنوعی را تیمی به رهبری پروفسور دکلان اوریگان از بخش «شورای پژوهش پزشکی» در موسسه علوم پزشکی لندن ساخته است، و به من پیشنهاد شد که عمر قلبم را با آن اندازه بگیرم.

پروفسور اوریگان می‌گوید:‌ «وقتی چهره یک فرد را می‌بینیم، می‌توانیم قضاوت کنیم که آیا برای سنش زیادی شکسته شده یا جوان‌تر به نظر می‌رسد. بقیه اعضای بدن هم همین وضعیت را دارند.»

وی، گفت: «قلب بعضی آدم‌ها خیلی جوان‌تر از سن خودشان است،‌ و بعضی دیگر هستند که قلبشان زودتر از خودشان پیر شده و بیشتر در معرض بیماری هستند. ما می‌خواهیم بدانیم که چه عواملی در این روند تاثیر دارد.»

[node:title]

به پروفسور اوریگان گفتم خیلی زندگی ناسالمی نداشته‌ام اما مثل بسیاری از آدم‌های دیگر می‌توانم رژیم غذایی بهتری داشته باشم، کمی وزن کم کنم و بیشتر ورزش کنم.به همه اینها باید سابقه خانوادگی کلسترول و فشار خون بالا و دیابت را هم اضافه کرد. داشتن ژن آسیای جنوبی هم به معنای این است که با ریسک بالاتری برای ابتلا به بیماری قلبی روبرو هستم،‌ و به همه این دلایل چندان به نتیجه تخمین سن قلبم با هوش مصنوعی خوش‌بین نبودم. اما به نام علم و دانش تصمیم گرفتم خودم را در معرض این آزمایش قرار دهم. راه‌های زیادی برای اندازه‌گیری و ارزیابی سلامت قلب وجود دارد که اسکن، نوار قلب و فشار خون از جمله آنها هستند. همه اینها در واقع تصویری لحظه‌ای از وضعیت قلب ارائه می‌دهد و ممکن است روز به روز یا ماه به ماه تغییر کند. اما نتیجه کار با هوش مصنوعی مشکلات و فرسودگی‌هایی را نشان داد که به گفته پروفسور اوریگان به دلیل سیگار کشیدن، رژیم نامناسب و ورزش نکردن، یک عمر روی هم انباشته شده است.

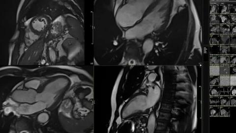
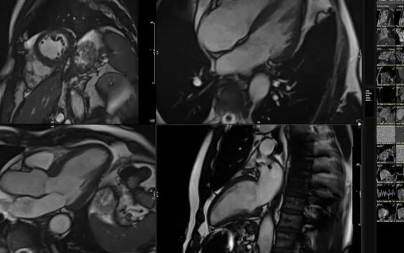
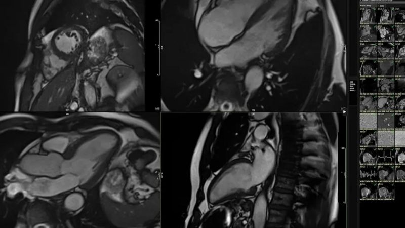
وی، اظهار کرد: تصویربرداری پرتو مغناطیسی یا همان اسکن ام‌آرآی قلب بعد از کمی تحرک بدنی هم بخشی از روند ارزیابی بود. نشانه‌های اولیه پیر شدن زودرس قلب گاهی آن قدر ظریف و نامحسوس است که حتی ممکن است از دید متخصصان قلب هم پنهان بماند. اما هوش مصنوعی قادر است این کار را انجام دهد چون تصاویر اسکن‌های ۴۰ هزار نفر در شرایط مختلف از نظر سلامت قلبی را همراه با وضعیت سلامت خودشان برای رجوع و مقایسه در اختیار دارد. سیستم صدها مورد جزیی و کوچک را در تکان‌های سه‌بعدی اسکن ام‌آرآی من بررسی می‌کند و با تصاویر پنج‌هزار نفر دیگر در سنین مختلف مقایسه می‌کند که زندگی سالمی داشته‌اند.

[node:title]

رژیم غذایی بهتر

این ابزار هوش مصنوعی سن قلب من را ۶۳ سال تخمین زد، یعنی تنها دو سال بیشتر از سن واقعی خودم، که به آن بدی هم که فکر می‌کردم نبود.

از پروفسور اوریگان پرسیدم که ممکن است این نتیجه که بهتر از تصور خودم بود،‌ به دلیل تغییراتی باشد که به تازگی در سبک زندگی‌‌ام ایجاد کرده‌ام مثل ورزش مرتب و رژیم غذایی سالم‌تر و آیا این کارها توانسته تا حدی اثرات مصرف چربی و ساعت‌های متمادی نشستن و بی‌تحرکی را از بین ببرد.

وی گفت این دقیقا همان سوالی است که قصد دارد در مرحله بعدی تحقیقاتش که تا اینجا در نشریه «نیچر کامیونیکیشن» منتشر شده، به جواب آن برسد.

پروفسور اوریگان گفت: ما هنوز دقیقا نمی‌دانیم که آیا پیری زودرس قلب به ژن‌های شما مربوط می‌شود و از همان بدو تولد قرار بوده که قلب شما زودتر پیر شود، یا این که بیشتر به سبک زندگی شما مربوط می‌شود. این را هم نمی‌دانیم که آیا می‌توان سرعت پیر شدن قلب را تغییر داد یا حتی این روند را معکوس کرد تا آدم‌ها بتوانند با درمان مناسب قلبشان را جوان‌تر کنند.»

پیر شدن معکوس

نتایج اولیه نشان داد ژن‌هایی به کشسانی و انعطاف‌پذیری عضلات مربوط هستند و همین طور چین و چروک‌‌هایی که با بالا رفتن سن روی بدن ایجاد می‌شود، عامل مهمی به حساب می‌آیند.

گروه دیگری از ژن‌ها هم که با سیستم ایمنی بدن ارتباط دارند، نقش قابل توجهی ایفا می‌کنند. سلول‌های ایمنی با بیماری‌ها مقابله می‌کنند و بافت‌های مرده را از میان می‌برند،‌ اما اگر بیش‌فعال شوند ممکن است در کارشان زیاده‌روی کنند و باعث ورم و التهابی شوند که به بافت‌ها آسیب می‌زند.

و دسته سوم ژن‌ها هم که در انتقال سیگنال‌های الکتریکی از طریق قلب فعال هستند، به نظر در این میان نقش دارند. اگر این روند در بعضی قسمت‌های بدن مختل شود،‌ ممکن است باعث نامنظم شدن ضربان قلب شود.

به گفته پروفسور اوریگان با درک بهتر نقش ژن‌ها در پیری زودرس قلب، ممکن است بتوان درمانی‌هایی را یافت که به طور خاص این مکانیسم‌ها را هدف قرار دهند و به افراد کمک کند تا بیشتر عمر کنند و سالم‌تر زندگی کنند.

او می‌گوید:‌ «علم ژنتیک می‌تواند در معکوس کردن روند پیری قلب به ما کمک کند،‌ و این اسکن‌ها هم برای ارزیابی شیوه‌های جدید درمانی و تاثیر آن بر آسیب‌های قلبی به کار می‌آید.»

انتهای پیام

برچسب ها

نظرات خود را با ما درمیان بگذارید

افزودن دیدگاه جدید

کپچا
CAPTCHA ی تصویری
کاراکترهای نمایش داده شده در تصویر را وارد کنید.