کدخبر :274676 0 11
07 آذر 1401 - 10:15

پدیده‌ای بسیار عجیب و نادر؛ دختری با دم به دنیا آمد

پدیده‌ بسیار نادر، وجود دم در انسان‌ها اغلب در میان پسرها دیده می‌شود و از هر ۱۷ مورد، یکی از اختلال رشد مغزی یا جمجمه رنج می‌برد. دانشمندان هنوز نمی‌دانند که عامل به‌وجودآمدن این زائده چیست.

متن خبر

به گزارش سیتنا، گروهی از پزشکان به رهبری دکتر «خوزه روئدا»، نتایج یافته‌های خود را در مجله علمی Journal of Paediatric Surgery Case Reports منتشر کرده‌اند و ادعا می‌کنند که این اولین مورد کشف دم در نوزادان در مکزیک است. این پدیده البته در گذشته در کمتر از 200 نفر در سایر نقاط دنیا مشاهده شده بود.

پزشکان می‌گویند این بچه در موعد طبیعی به‌دنیا آمد و در دوره حاملگی هم هیچ مشکلی برایش گزارش نشده بود. والدین این کودک در حال حاضر یک پسر دیگر هم دارند که سالم و بدون مشکل زندگی می‌کند. با این حال، پزشکان به‌فاصله کوتاهی پس از تولد فرزند دوم متوجه وجود زائده‌ای شبیه دم در انتهای استخوان دنبالچه این نوزاد شدند.

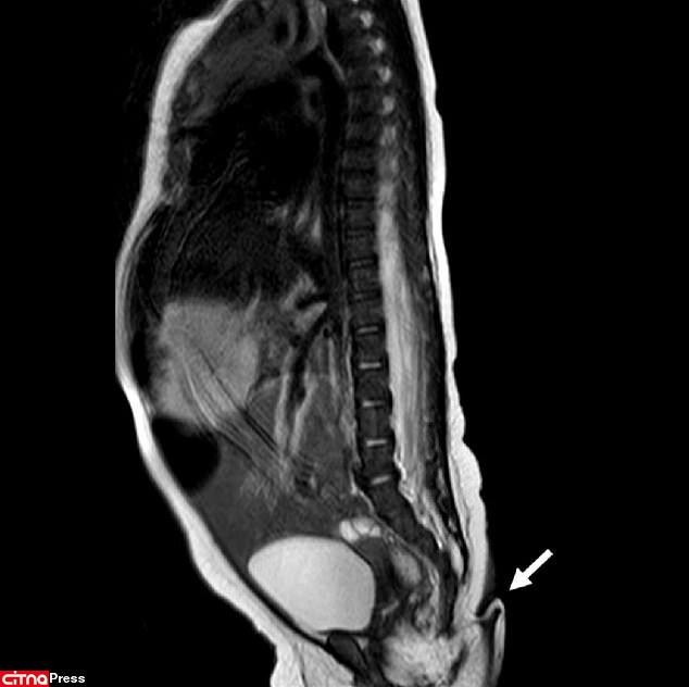
دم این دختر مکزیکی چه ویژگی‌هایی داشت؟

قطر این زائده بین 3 تا 5 میلی‌متر بود و انتهای آن حالت نوک‌تیز پیدا می‌کرد. پزشکان در مقاله خود آورده‌اند: «ساختار آن نرم و پوشیده از پوست و مو بود. تکان دادنش موجب درد نوزاد نمی‌شد، اما خودش هم به‌تنهایی حرکت نمی‌کرد. [با این حال] وقتی به دم سوزن زدیم، بچه به گریه افتاد.»

[node:title]

پزشکان می‌گویند این دختر مکزیکی از نظر سایر اندام‌ها از جمله مغز، قلب، کلیه و حس شنوایی سالم بود. همچنین، اسکن‌های پزشکی نشان داد که این دم نتیجه مشکلی در ستون مهره‌ها مثل دیسرافیسم نبود؛ این بیماری باعث می‌شود مهره‌ها به‌درستی شکل نگیرند و در پایین ستون آنها زائده‌ای شبیه دم رشد پیدا کند.

محققان پس از دو ماه دوباره این نوزاد را بررسی کردند و متوجه شدند که وزن و قد او در شرایط عادی قرار دارد. با این حال، اندازه دم 0.8 سانتی‌متر بزرگ‌تر شده بود. پزشکان درنهایت طی یک جراحی کوچک که با بی‌حسی موضعی انجام شد، این دم را قطع کردند. بررسی‌های بیشتر روی این زائده نشان داد که دم این کودک شامل بافت‌های نرم، رگ و مجموعه‌ای از اعصاب بوده است.

انتهای پیام

11
نظرات خود را با ما درمیان بگذارید

افزودن دیدگاه جدید

کپچا
CAPTCHA ی تصویری
کاراکترهای نمایش داده شده در تصویر را وارد کنید.