کدخبر :284052 پرینت
26 مرداد 1402 - 09:21

سوراخ شدن گلو بر اثر نگهداشتن عطسه

آیا پیش آمده در جلسه‌ای رسمی باشید و برای اینکه ادب را رعایت کرده باشید، عطسه‌تان را نگهدارید. این کار را مردی در بریتانیا انجام داد و در نهایت مجبور شد، با سوراخی در گلو خود را به بیمارستان برساند.

متن خبر

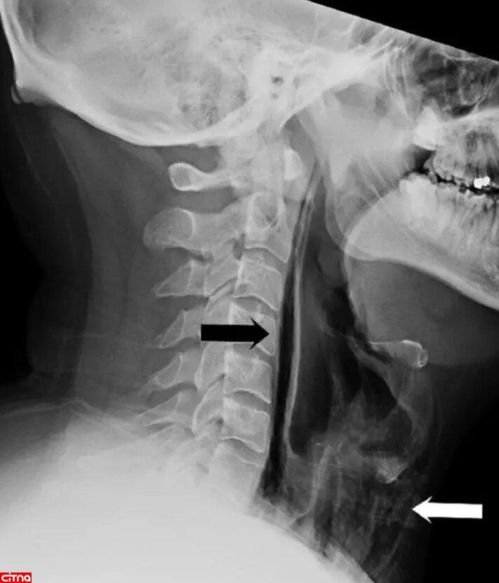
به گزارش سیتنا، بنابر گزارش بیمارستانی در بریتانیا، مردی ۳۴ ساله که از نظر جسمی در وضعیت خوب و متناسبی بود، پس از گرفتن عطسه خود، گلویش صدمه دید و مجبور شد خود را به بخش اورژانس بیمارستانی برساند.

او گفت، «برای اینکه جلوی عطسه شدید خود را بگیرم، بینی‌ام را محکم گرفته و دهانم را بستم. پس از عطسه، احساس کردم چیزی در گلویم ترکیده است و دو طرف گردنم متورم شد.»

این مرد سپس متوجه علایم دیگری از جمله درد موقع بلع و تغییر شدید در صدایش شد.

در بیمارستان وقتی از گلوی این مرد تصویربرداری شد، پزشکان ابتدا تورم و سپس رگه‌هایی از هوا در میان بافت گلوی او مشاهده کردند. این رگه‌های هوا که به‌صورت حباب‌های بسیار ریزی دیده می‌شدند، نشان می‌داد که گلویش دچار پارگی شده است.

[node:title]

این نوع صدمه معمولا در اثر حادثه، جراحی یا عفونت در افراد دیده می‌شود که در مورد این مرد،‌ به‌دلیل گرفتن عطسه‌ خود بوده است.

در گفتگو با این مرد مشخص شد، او به‌دلیل مسائل بهداشتی از وقتی که به یاد دارد، عطسه‌های خود را نگه می‌داشته اما این بار شرایط فرق کرده و گلویش صدمه دیده است.

خوشبختانه سوراخ ایجاد شده در گلوی این مرد بسیار کوچک بود و بدون جراحی و با مصرف غذا از طریق لوله تغذیه و همچنین داروهای آنتی‌بیوتیک درمان خواهد شد.

پس یادتان باشد، هرگز عطسه‌های خود را نگه ندارید.

انتهای پیام

برچسب ها

نظرات خود را با ما درمیان بگذارید

افزودن دیدگاه جدید

کپچا
CAPTCHA ی تصویری
کاراکترهای نمایش داده شده در تصویر را وارد کنید.