اولین عکس از سویه اومیکرون منتشر شد

اولین عکس از سویه اومیکرون منتشر شد
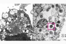
دانشمندان دانشگاه هنگ کنگ یک میکروگراف الکترونی از سویه اومیکرون منتشر کردند.

به گزارش سیتنا، محققان در بیانیه ای اعلام کردند که دانشگاه هنگ کنگ، تصویری که با میکروسکوپ الکترونی از سویه اومیکرون گرفته شده را منتشر کردند.

دانشمندان علوم پزشکی توانستند میکروگرافی از سلول کلیه میمون پس از آلوده شدن به سویه اومیکرون بگیرند.

محققان توضیح دادند که در تصویر با بزرگنمایی پایین، فتومیکروگراف آسیب به سلول‌های دارای وزیکول‌های متورم حاوی ذرات کوچک ویروسی سیاه رنگ را نشان می‌دهد. فتومیکروگراف با بزرگنمایی بالا تجمعات ذرات ویروسی را با سنبله های تاجی روی سطح آنها نشان می دهد.

پیش از این مشخص شد که محققان دپارتمان میکروبیولوژی در دانشگاه هنگ کنگ موفق به جداسازی سویه اومیکرون از نمونه های بالینی شدند که امکان ساخت و تولید واکسن را علیه سویه جدید فراهم می کند.

انتهای پیام


Source URL: https://www.citna.ir/news/264164/اولین-عکس-از-سویه-اومیکرون-منتشر-شد