مرگ به‌خاطر بوییدن جوراب

مرگ به‌خاطر بوییدن جوراب
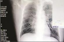
مردی در چین که عادت داشت جوراب‌هایش را هر شب بو کند، دچار عفونت ریه شد‌ و سرانجام جان باخت.

به گزارش میرور، افراد وسواسی که عادت دارند جوراب یا حتی کفش‌های خود یا فرزندانشان را بو کنند، می‌توانند قربانی این عفونت‌های ریه باشند.

به گفته متخصصان، انواع قارچ‌ها و دیگر عوامل بیماری‌زا در جوراب‌ها وجود دارند و ذره‌ کوچکی از آنها می‌تواند موجب بیماری فردی شود که آنها را استنشاق می‌کند.

انتهای پیام


Source URL: https://www.citna.ir/news/222465/مرگ-به‌خاطر-بوییدن-جوراب